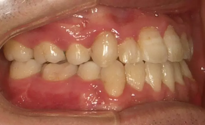
開咬
奥歯は咬んでいるのですが、前歯が合わさらなくなく隙間があいています。この原因の
多くは子供の頃の指しゃぶりにあります。
指しゃぶりが長く続くと、その後指しゃぶりを止めても、物を飲み込む時やしゃべる時に
舌の先で前歯の隙間を塞ごうとしてしまいます(図B)。
最終的に舌の癖で上下の前歯が
合わさらない状態が続いてしまいます。
図A 舌の先は前歯に触らない(正常)
図B 舌の先が前歯の裏側に触ってしまう



詳しい治療内容
舌の悪い癖に注意していただき、前歯がだんだん合わさっていくように治療していきます。


| 主訴 | 前歯でかみにくい。上の歯が出ている。 |
|---|---|
| 症状 | 前歯部開咬、下顎前突、上顎前歯の唇側傾斜 |
| 治療内容 | 上下左右の第一小臼歯を抜歯。マルチブラケット装置を用いて動的治療を行った。治療前に上下の前歯に大きな隙間ができていた原因は舌の悪い癖でした。この癖を治していくトレーニングも並行して行いました。動的治療後は上下に取り外しができる保定装置を用いて保定観察を行った(半年に一度の来院)。 |
| 年齢 | 16歳 男性 |
| 装置 | 歯の表側にブラケット装置 上顎内側にトランスパラタルアーチ |
| 抜歯部位 | 上下左右第一小臼歯を抜歯 |
| 動的治療期間と 通院回数 |
2年6ヶ月 32回 |
| 治療費 | 95万円(税込) *初診料・精密検査料・矯正料・処置料等を含む |
| リスク・副作用 | 動的治療、きちんと歯を磨く習慣をつけないと、虫歯や歯肉炎を起こしやすい。動的治療後に舌の悪い習慣が残っていると再発する恐れがあります。歯の移動距離が大きいので歯根吸収の恐れがあります。 |
全体的な矯正治療の標準的な
治療費、治療期間、通院回数
| 治療費(税込) | 90万~110万(税込) *初診料・精密検査料・矯正料・処置料等を含む |
|---|---|
| 治療期間 | 2年6か月~3年 |
| 通院回数 | 32~38回 |
*矯正歯科治療についても、一般的なリスクと副作用が伴います。治療を受けられる方は事前にご一読下さい。
|
① |
矯正歯科装置を付けた後しばらくは違和感、不快感、痛みなどが生じることがありますが、一般的には数日間~1、2週間で慣れてきます。 |
|---|---|
|
② |
歯の動き方には個人差があり、予想された治療期間が延長する可能性があります。 |
|
③ |
矯正歯科装置の使用状況、顎間ゴムの使用状況、定期的な通院など、矯正歯科治療には患者さんの協力が必要であり、それらが治療結果や治療期間に影響します。 |
|
④ |
治療中は、装置が付いているため歯が磨きにくくなります。むし歯や歯周病のリスクが高まりますので、丁寧に磨いたり、定期的なメンテナンスを受けたりすることが重要です。また、歯が動くと隠れていたむし歯が見えるようになることもあります。 |
|
⑤ |
歯を動かすことにより歯根が吸収して短くなることがあります。また、歯ぐきがやせて下がることがあります。 |
|
⑥ |
ごくまれに歯が骨と癒着していて歯が動かないことがあります。 |
|
⑦ |
ごくまれに歯を動かすことで歯の神経が障害を受けて壊死することがあります。 |
|
⑧ |
矯正歯科装置などにより金属等のアレルギー症状が出ることがあります。 |
|
⑨ |
治療中に「顎関節で音が鳴る、あごが痛い、口が開けにくい」などの顎関節症状が出ることがあります。 |
|
⑩ |
様々な問題により、当初予定した治療計画を変更する可能性があります。 |
|
⑪ |
歯の形を修正したり、咬み合わせの微調整を行ったりする可能性があります。 |
|
⑫ |
矯正装置を誤飲する可能性があります。 |
|
⑬ |
装置を外す時に、エナメル質に微小な亀裂が入る可能性や、かぶせ物(補綴物)の一部が破損する可能性があります。 |
|
⑭ |
装置が外れた後、保定装置を指示通り使用しないと後戻りが生じる可能性が高くなります。 |
|
⑮ |
装置が外れた後、現在の咬み合わせに合った状態のかぶせ物(補綴物)やむし歯の治療(修復物)などをやりなおす可能性があります。 |
|
⑯ |
あごの成長発育によりかみ合わせや歯並びが変化する可能性があります。 |
|
⑰ |
治療後に親知らずが生えて、凸凹が生じる可能性があります。加齢や歯周病等により歯を支えている骨がやせるとかみ合わせや歯並びが変化することがあります。その場合、再治療等が必要になることがあります。 |
|
⑱ |
矯正歯科治療は、一度始めると元の状態に戻すことは難しくなります。 |